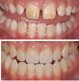
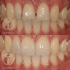
Esthetiek

Het hebben van een ‘fraai’ gebit kan voor ieder een andere waarde hebben! Wij bij Tanden en Zo zijn ervan overtuigd dat ‘esthetiek’ een subjectief gegeven is. Wat wel door bijna een ieder gedragen wordt is dat een mooie stralende lach goed voor uw zelfvertrouwen is! Indien u uw gebit om wat voor reden dan ook niet ‘fraai’ genoeg vindt dan is ons team in staat u daarin te adviseren en te begeleiden zodat u uw zelfvertrouwen voor een groot deel weer terugkrijgt. De esthetische tandheelkunde draait dan ook om het verfraaien van uw gebit en om dit te bereiken wordt er gebruik gemaakt van tandheelkundige hulpmiddelen. Bij Tanden en Zo vindt u bijna alle disciplines in huis en kunnen wij u helpen met elk denkbaar tandheelkundige uitdaging.Zijn uw eigen tanden niet meer als basis te gebruiken dan bieden wij u graag de optie implantatie aan.